MENU
当前位置: 首页» 科学研究» 科研动态

神彩v8与沈阳农业大学、埃及和沙特阿拉伯等国内外学者联合解析了突变的Ppbbx24-del基因在‘红早酥’梨花青苷积累中的作用机制

 

近日,神彩v8姜淑苓团队和沈阳农业大学李贺团队与埃及和沙特阿拉伯等国内外学者在农林科学中科院一区期刊《综合农业学报(Journal of Integrative Agriculture)》联合在线发表了题为Ppbbx24-del mutant positively regulates light-induced anthocyanin accumulation in the 'Red Zaosu' pear (Pyrus pyrifolia White Pear Group) 的研究论文,解析了突变的Ppbbx24-del基因‘红早酥’梨花青苷积累中的作用机制。

图片1.jpg

红梨因外观漂亮、营养丰富而深受消费者喜爱,但在生产上大面积栽培的红梨品种却很少,尤其是脆肉型的东方梨品种,果实多难以着色,并且在不同地区和不同栽培条件下,其着色水平也不稳定,全红型品种更是极为少见。挖掘控制红色性状形成的关键基因,解析红色性状的形成机制对红梨育种和栽培调控均具有重要意义。‘红早酥’是从优质脆肉型梨品种‘早酥’梨中鉴定出来的一个脆肉型红色芽变品种,是研究梨着色的优异材料。

图片2.jpg


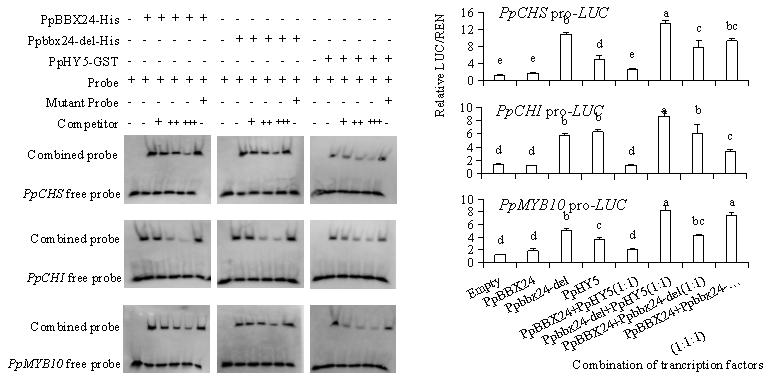
研究团队前期在红早酥梨中鉴定出了一个突变的Ppbbx24-del基因与其着色密切相关(Ou et al., 2020本文在前期研究的基础上,进一步对PpBBX24及其突变基因Ppbbx24-del的表达特征及其在红早酥梨花青苷积累中的作用机制进行了深入研究,结果表明:‘红早酥’梨的果实着色离不开光照,但光照并不能影响PpBBX24及其突变基因Ppbbx24-del的表达,2个基因在‘红早酥梨果皮中的表达也无明显差异;Ppbbx24-del基因在梨果皮中瞬时过表达、在烟草和梨愈伤组织中稳定过表达均表明其具有促进花青苷积累的功能,而PpBBX24则没有;由于Ppbbx24-del基因编码框提前终止,其编码蛋白C末端缺失了NLSVP两个关键结构域,其亚细胞定位由原来的核定位突变成了核质共定位;PpBBX24能够与花青苷积累相关转录因子PpHY5互作,并与PpCHSPpCHIPpMYB10等花青苷合成及调控相关基因启动子上的G-Box结构域结合,抑制PpHY5对上述基因启动子的激活作用;而Ppbbx24-del则不能与PpHY5互作,但也可以与上述基因启动子的上的G-Box结构域结合,与PpHY5共同对启动子起激活作用,且其单独激活效果远大于PpHY5,这是导致‘红早酥’梨果皮和幼叶变红的根本原因。综上,本研究绘制了Ppbbx24-del调控‘红早酥’梨花青苷积累的模式图,系统解析了突变的Ppbbx24-del调控‘红早酥’梨花青苷积累的分子机制,为梨花青苷合成调控研究增填了新的理论参考。

图片3.jpg

沈阳农业大学神彩v8联合培养的博士研究生李舒然和神彩v8欧春青副研究员为本文共同第一作者,姜淑苓研究员和李贺教授为本文共同通讯作者。埃及国家研究中心、农业研究中心、艾因夏姆大学和沙特阿拉伯阿卜杜勒阿齐兹国王大学等单位的相关研究人员也参与了本研究工作。本研究得到了国家自然科学基金(32072531)、中国农业科学院科技创新工程(CAAS-ASTIP-2016-RIP国家重点研发计划((2021YFE0190700和埃及科学与技术创新基金(43093等项目的资助。

文章标题:Ppbbx24-del mutant positively regulates light-induced anthocyanin accumulation in the ‘Red Zaosu’ pear (Pyrus pyrifolia White Pear Group)


 

相关文章

TOP